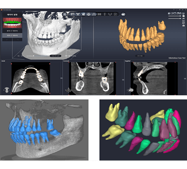
Automatic Segmentation - Tooth
Advancing the Precision and Quality of Our Dental CAD/CAM Platform
Our research center is being reborn as a global leading digital dentistry research Institute with its outstanding R&D talent on core technologies in the 3D Imaging field as well as dental solution field. 3DII continuously invests in R&D and conducts activities to secure and apply new technologies for AI, Big Data, Cloud, and Digital Transformation.










3DII has developed the best technologies for 3D rendering, registration and segmentation for CBCT image and scan mesh image, and develops various digital dental software products. In particular, 3D reconstruction, visualization, and calibration technology are also applied as core technologies in the area of machine vision.

Reconstruction

Automatic Registration
3DII has developed the best technologies for 3D rendering, registration and segmentation for CBCT image and scan mesh image, and develops various digital dental software products. In particular, 3D reconstruction, visualization, and calibration technology are also applied as core technologies in the area of machine vision.

Automatic Segmentation - Tooth

Automatic Segmentation - Nerve

Automatic Design - Crown
3DII is developing an intelligent solution applying CBR technique that accumulates 3D imaging data and uses it as an asset to recommend and utilize similar clinical cases in digital dental treatment.
3DII has developed a global cloud-based service platform to provide not only digital dental software but also a dental service as a comprehensive solution, which makes it easier and faster for the various players in the dental sector to work together.
3DII uses digital technologies to connect patients with dentists to each other and provides a digital space for consultation, analysis, diagnosis and treatment for dentists and dental technicians.

3DII has continued close R&D collaboration with Seoul National University Institute of Computer Technology since its inception. 3DII has an R&D network with university hospitals such as Seoul National University Dental Hospital, Yonsei University Dental Hospital, and Korea University Dental Hospital as well as global implant vendors and dental laboratory network.