CBCT-Based Anatomical Analysis
Provides accurate anatomical visualization from CBCT data, enabling safe implant positioning and improved surgical decision-making

AI-Powered Implant Planning & Surgical Guide

DentiqGuide is a dental implant planning and design software to perform implant treatment planning & simulation based on prostheticsand design any surgical guides including even edentulous cases.

AI automatically identifies and marks nerve canals, ensuring safe implant placement

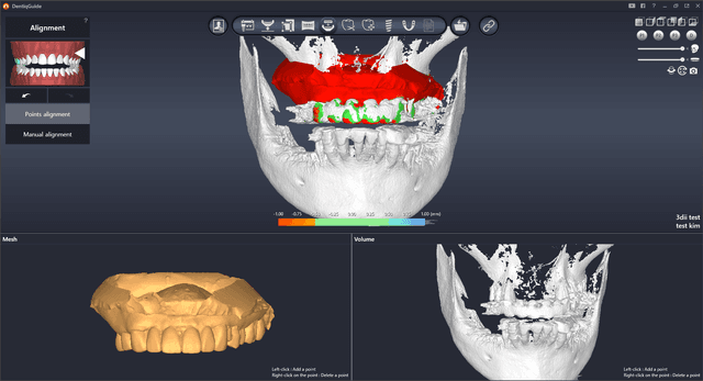
AI-powered alignment matches CT and oral scans precisely for accurate surgical planning

AI analyzes CT data to create panoramic images, optimizing visual diagnosis and planning

AI analyzes anatomical structures to automatically position crown into the optimal occlusion

AI selects the appropriate fixture type and determines its optimal placement and orientation by considering surrounding anatomical structures

AI automatically identifies the optimal guide area and generates surgical guide
Provides accurate anatomical visualization from CBCT data, enabling safe implant positioning and improved surgical decision-making
Delivers fast, precise implant planning with advanced 3D visualization and realistic virtual simulation
Creates accurate surgical guides using anatomical analysis, optimized implant positioning, and seamless workflow sync
Enables precise provisional designs through accurate alignment and natural esthetic shaping for predictable outcomes
Generates comprehensive surgical reports and provides precise drilling protocols with accurate depth, sequence, and guide details
Offers broad compatibility with implant systems, scan bodies, abutments, and prosthetic libraries
Connects planning, simulation, and design into one unified workflow for faster, consistent clinical performance
Enhances productivity with intuitive navigation, optimized tools, and a clean, user-friendly interface

Simply send us your CBCT and oral scan data, and our expert designers will create a complete implant plan and surgical guide design. All you need to do is review and approve.
